New horizons for the DRIM-Nail
The AO Innovation Translation Center (AO ITC) is delighted to announce a new phase in the evolution of the Distal Radius Intramedullary Nail (DRIM-Nail), an implant development project which is now in the early stages of clinical application. Clinical usage of the DRIM-Nail will be extended to further European regions to enable data collection around patient outcomes, and to support a clinical study in collaboration with DISRAD AG.
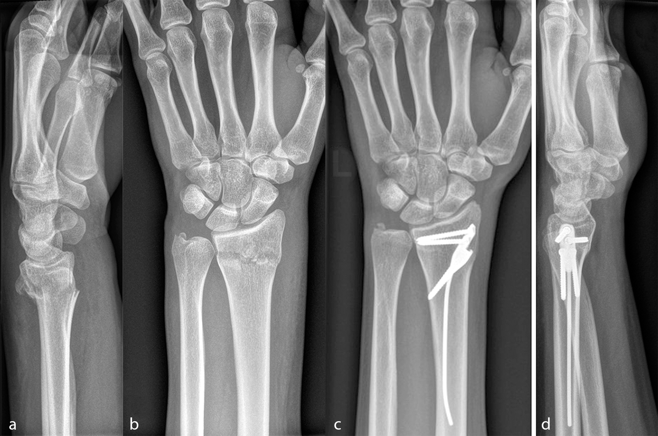
Approved by the AO in June 2022, the DRIM-Nail is an innovative treatment option for patients with extraarticular distal radius fractures. The design, development and certification of this new intramedullary nailing implant originally grew from a multi-partner collaboration between DISRAD AG, a start-up founded at Balgrist University Hospital by the Balgrist Beteiligungs AG, the University of Zürich, the AO Technical Commission's Hand Expert Group, the AO's Innovation Funding, and 41medical.
Already in use in several clinics in Switzerland and abroad, the DRIM-Nail has been used in the treatment of over 30 fractures to date. DISRAD AG will now invest in the availability of the DRIM-Nail to selected clinics in Germany, Austria and Switzerland (DACH region), allowing greater opportunities for global data collection with the goal to introduce the implant to EU and US markets. The clinical study, currently being designed with the AO ITC, will leverage the AO’s renowned global network of surgeons, involving several hospitals and clinics across DACH.
Alongside the clinical study, the DRIM-Nail will be showcased at the AO’s Meet the Expert series at Davos in December 2024. Presented by expert surgeons who were directly involved in the development of the new implant, the interactive stage show will feature a practical demonstration of the surgical technique to insert the DRIM-Nail and an overview of the clinical benefits of this innovative device.
Consistent with the AO TC’s ethos of harnessing innovation to improve patient care and outcomes, the new DRIM-Nail provides all the benefits of minimally invasive intramedullary fracture stabilization, including minimal trauma to the bone fragments and the protection of the adjacent soft tissue. This aims to achieve faster recovery, better and faster functional and cosmetic outcomes, and a lower economic burden compared to current treatment options.

